你是糖尿病患者吗?
你的双脚有异常感觉(如发凉、刺痛、瘙痒、蚂蚁爬行)吗?
脚上皮肤是否有瘀斑、皲裂甚至足部畸形?
如果有上述症状,警惕可能患上了糖尿病的常见慢性并发症——糖尿病足!
今年仅51岁的柏女士(化名)是一位有着多年糖尿病病史的老“糖友”,一直以来并未按照医生要求严格控制血糖。
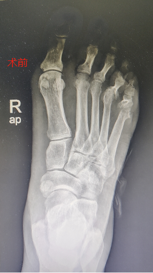
近一年来,她的右足皮肤严重破损、大面积溃烂,不但严重影响了她的行动能力,肢端的疼痛及流脓更是让她倍感痛苦。
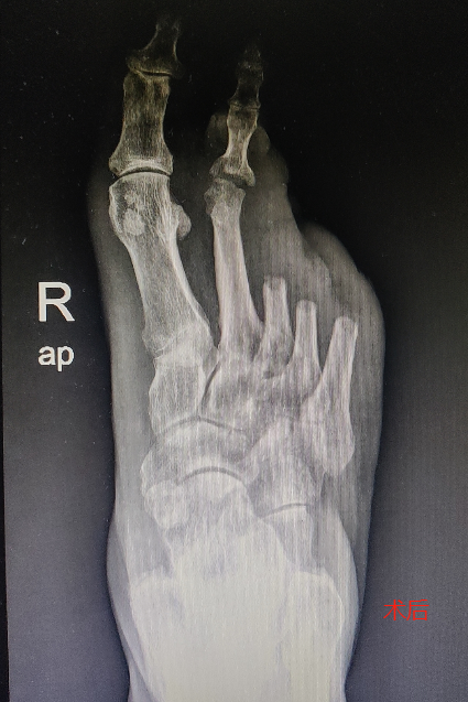
经多次对症治疗,效果不佳,最终无奈选择了截肢手术。


尽管已经截肢,但柏女士的糖尿病足伤口愈合仍然困难重重,我院骨科采用了综合治疗方案,其中包括调整降糖方案、改善组织循环和代谢、营养神经、抗炎等治疗手段。经过了一个多月的精心治疗,柏女士的伤口终于愈合了。
柏女士表示在我院骨科的帮助下解决了她长期以来的困扰,虽然肢体残缺令她遗憾,但却提高了她的生活质量。这一事件提醒我们,糖尿病足是一个不可小觑的问题,我们必须对其予以高度重视。
糖尿病足应注意:
01消毒干净讲卫生
糖尿病足患者注意足部的卫生,尤其每天按时洗脚,可定期使用酒精等进行足部的消毒,特别是趾丫部有真菌感染时,可使用杀灭真菌的药物进行对症治疗。
02无破无胀无溃烂
糖尿病足患者还应该注意每天检查足部,看一下足部有无损伤、肿胀、破溃等症状发生。尤其发生了破溃之后,及时就诊进行伤口换药治疗。
03剪趾甲防破皮
糖尿病足患者应适时修剪趾甲,避免去公共场所修脚。修剪时要注意防止损伤皮肤,如果造成破溃,应立即消毒换药,否则很有可能因此发展成足部溃疡。
04注意防烫和冻伤
糖尿病足患者日常活动中需要预防外伤,足部注意保暖,温度适宜,防止烫伤;并注意防止皮肤干燥,天冷时需格外注意防止冻伤。
05鞋袜合脚要保健
糖尿病足患者应选择全棉透气、大小适宜的鞋袜,鞋袜要保持干燥干净。及时清洗,可以更好地保护双足。
06及时就医要检查
糖尿病足患者应经常到医院检查自己的足部健康,了解自己的双足状态,神经、血管是否发生了病变,从疾病的早期就做好足部的预防及护理。
(骨科 马东宝)